以下の情報をご入力ください
経験豊富な歯科医師が、歯の状態を写真で確認後、丁寧に診察。安心して施術を始められます。オンラインで完結するため、ご来店の手間がありません。
市販品では使用できない医療用の過酸化水素が配合された医療用ホワイトニングシートを採用。本格的なホワイトニング効果を実感できます。
歯科医師監修のもと厳格な品質管理で製造。効果的でありながら、歯や歯茎への負担を最小限に抑えた処方設計となっています。
歯科医師の診療を経て処方される、ホームホワイトニングシートです。
市販品では実現できない成分・濃度で、確かな白さがご自宅で実現可能に。

市販品との違い
医療用薬剤
一般的な市販のホワイトニング製品は、安全基準上、使用できる成分の種類や濃度に制限があります。 医療ホワイトニングシートは、歯科医師の診療・処方のもとでのみ使用できる医療用成分を配合。 クリニックで行うオフィスホワイトニングに近い効果を、ご自宅で実現します。
医療用成分配合
歯科医師の診療のもとでのみ処方可能。市販品とは成分・効果がが異なります。
1回30分、週1~2日でOK
忙しい方でも続けやすい短時間ケア。就寝前や家事の合間などお手軽にご使用可能です。
2週間で実感
個人差はありますが、多くの方が2週間以内に白さの変化を実感しています。
自宅で完結
ご来店不要。ご自宅で本格的な医療ホワイトニングが可能です。
電話診療から使用開始まで、たった4ステップ

公式LINE追加後、「電話診療予約」ボタンからご都合の良い日時をお選びください。
所要時間:3分
公式LINEのチャットにて、口腔内の写真と身分証をご提出いただきます。スマートフォンで撮影してそのまま送信するだけで簡単に完了します。
所要時間:5分
予約日時になりましたら歯科医師より電話診療を実施致します。現在の歯の状態、施術間隔や施術時の注意事項など、丁寧に診療を行います。
所要時間:10分
診察後、2〜3日でご自宅にホワイトニングシートがご自宅に届きます。使用方法に従って、1回30分のケアを開始してください。
配送:2-3日
当サービスで使用するホワイトニングシートには、歯科医院でのみ取り扱いが許可されている医療用成分を配合しています。市販品では実現できない高い漂白効果と、歯科医師の管理下での安全性を両立させた製品です。
過酸化水素は、歯科医療において長年使用されてきた安全性の高い漂白成分です。歯のエナメル質に浸透し、着色の原因となる有機色素分子を酸化分解することで、歯を内側から白くします。市販のホワイトニング製品に含まれる濃度は低く効果が限定的ですが、当サービスでは歯科医師の管理のもと、医療用濃度の過酸化水素を使用するため、短期間で目に見える白さを実現できます。また、適切な濃度・使用方法を守ることで、歯や歯茎への負担を最小限に抑えながら安全にご使用いただけます。
過酸化水素を含む医療用ホワイトニング製品は、日本では歯科医師の処方・管理のもとでのみ使用が認められています。
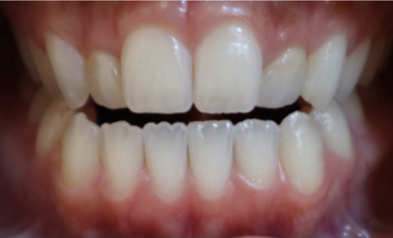
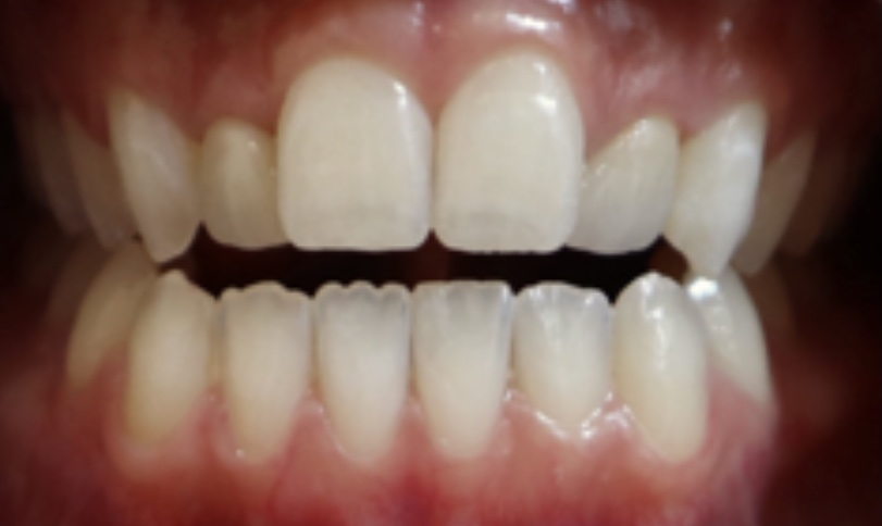
※個人差があります


2週間後(4回使用)


4週間後(8回使用後)
6ステップで簡単。週1~2日取り入れてください。

歯磨き粉を使わず、お水だけで歯をきれいに磨いてください。歯磨き粉の成分がホワイトニング効果を妨げる場合があります。

ティッシュや綿棒などで歯の表面の水分をしっかり拭き取ってください。水分が残っているとシートが密着しにくくなります。

上下の歯にシートをしっかり密着させます。歯と歯の間は爪でしっかりと押し込み、均一に貼り付けてください。

シートを貼ったまま30分間そのままお待ちください。その間は飲食をお控えください。

30分経ったら、シートをゆっくりと丁寧に剥がしてください。口の中に残った成分は飲み込まず、すすいでください。

シートを外した後、歯磨き粉を使ってしっかり仕上げ磨きをしてください。ホワイトニング効果を定着させます。
診療代込みの安心価格
(税込)
診療代+シート代込み
(税込)
診療代+シート代込み
(税込)
診療代+シート代込み
ご不明な点はLINEでもお気軽にご相談ください。
市販品には法律上、過酸化水素などの医療用成分を配合することができません。当サービスでは歯科医師による診療を経て、医療機関のみが取り扱える高濃度の有効成分を配合したシートをご提供しています。そのため、市販品では実現できない本格的な白さを自宅で体験いただけます。
LINEでご予約後、担当の歯科医師より指定のお時間にお電話いたします。診療時間は約10〜15分程度で、現在の歯の状態や過去の治療歴、アレルギーの有無などを確認します。診療後、問題がなければ処方・発送手続きに進みます。
個人差はありますが、多くの方が1〜2週間の使用で効果を実感されています。
妊娠中・授乳中の方への使用は推奨しておりません。安全性が確認されていないため、ご出産・授乳期間終了後にご利用ください。
天然歯(自分の歯)にのみ効果があります。差し歯・被せ物・詰め物・インプラントなどの人工物には効果がありません。また、すでにホワイトニング済みの歯に対しては、現状維持・再着色防止の効果が期待できます。
定期購入の縛りは一切ございません。
クレジットカードのみご利用いただけます。